PERIODONTAL DISEASE

What is gum disease? gum disease also known as “periodontitis” or “periodontal disease.” Periodontal disease is the #1 cause of tooth loss among adults. It has been divided into two categories: gingivitis or periodontitis. Gingivitis is a milder and reversible form of periodontal disease that only affects the gums. The main cause of periodontal diseases is bacterial plaque, a sticky, colorless film that forms on your teeth. Plaque induces inflammation process that causes bone loss and affects the tooth-supporting structures.

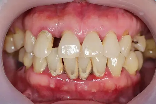
Do you have these signs and symptoms of periodontal disease?
- Bleeding gums – Gums should not bleed.
- Loose teeth – Caused by bone loss or weakened surrounding structures,
- Spacing between teeth – Caused by bone loss.
- Persistent bad breath – Caused by bacteria in the mouth.
- Pus between gums and the teeth – Infection presents.
- Receding gums – Loss of gum around a tooth.
- Red and puffy gums – Gums should not be red or swollen.
- Tenderness or Discomfort – Gum inflammation from plaque, calculus and bacteria build up.
The other factors also affect your periodontal health: smoking/tobacco use, stress, genetics, diabetes, puberty, pregnancy, poor nutrition, clenching orgrinding your teeth, and menopause in women.
Because symptoms may not occur until the disease is advanced, early treatments of scaling and root planning (SRP), gingival irrigation, deposit of antibiotic or other periodontal therapies will prevent bone loss and tooth mobility.
Scaling & Root Planning with Gingival Irrigation
Scaling and Root Planing Therapy (Deep Cleaning) is a noninvasive procedure which performed with specialized instruments. Our hygienists will careful clean the root surfaces and remove plaque and calculus (tartar) from deep periodontal pockets. Root Planing will smooth the roots and remove bacterial toxins, making it more difficult for plaque to build up on the root surfaces.
Gingivial Irrigation is a procedure using a stream of directed medicated solutions to disinfect the peiodontal pockets and to remove built-up plaque and debris from underneath the gum line.

ARESTIN ® (minocycline hydrochloride) Microspheres, 1 mg is an effective antibiotic treatment that comes in powder form. This powder is placed inside infected periodontal pockets just after the dental professional finishes the scaling and root planing (SRP) procedure.
Following scaling and root planing, ongoing maintenance cleaning three or four times a year is necessary for patients who achieve periodontal health. However, nonsurgical therapy does have its limitations. Areas that have not responded to scaling and root planing may require further treatment.
With periodontal (gum) disease, prophylaxis (routine cleaning) will not address your oral conditions because of the complex anatomy of the root surfaces below the gum line. Plese call our office today if you experienced signs and symptoms of periodontal disease.
