COSMETIC SERVICES
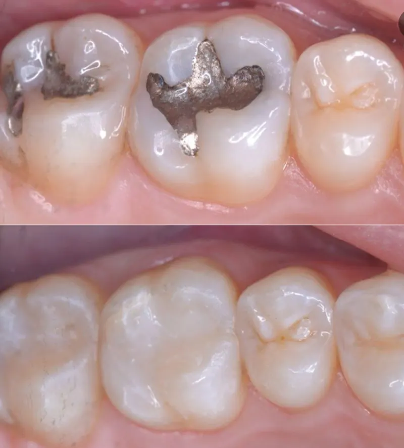
Composite White Fillings
Composite fillings are commonly used to treat cavities. During the procedure, the decayed portion of the tooth is carefully removed and replaced with a tooth-colored composite material that closely matches your natural tooth shade.

Composite fillings are an excellent option for treating small to medium-sized cavities while maintaining a natural appearance.
One of the key advantages of composite fillings is that they require less removal of healthy tooth structure compared to traditional amalgam (silver) fillings. This allows us to preserve more of your natural tooth.
Composite material is also frequently used to replace old, failing amalgam restorations, improving both the strength and appearance of your smile.
Crowns and Bridges
Crowns
When cavities is large, the damage is too extensive to warrant a filling, a crown is effective treatment. It provides coverage for the outer surface of the tooth using a cap made of porcelain and other materials. It restores your tooth to its original shape. While they are primarily used for teeth that are broken or cracked, they can also solve a variety of other dental issues as well. Crowns will help to keep your teeth and your smile intact.

Dental Bridge
A dental bridge is a false tooth (called a pontic) that is held in place for the missing tooth. The pontic(s) is connected to the anchorage crowns on either side of the gap. Implants is another option for missing teeth.

Veneers and Teeth Whitening
Transform Your Smile with Cosmetic Dentistry
- Are you self-conscious about your smile?
- Do chipped, discolored, or misshapen teeth keep you from smiling with confidence?
Dental veneers are thin porcelain shells designed to cover the front surface of one or multiple teeth. Each veneer is custom-crafted to fit your individual smile, creating a natural, seamless, and beautifully enhanced appearance.

Laser Cosmetic Teeth Whitening
We also offer advanced laser teeth whitening to safely and effectively remove stains caused by food, coffee, and everyday habits. This treatment delivers a noticeably brighter smile — helping improve both your oral health and your confidence.
Smile Makeover
Smile Makeover
A smile makeover is the process of improving the appearance of the smile. It combines a variety of cosmetic dental procedures, including: dental veneers, composite bonding, tooth implant and teeth whitening, to brighten up discolored teeth. Sometimes braces or invisalign can be used to correct misaligned teeth. Crowns can also be used to cover teeth that have unattractive flaws.
Full Mouth Reconstruction
Full mouth reconstruction, also known as full mouth restoration, is the process of rebuilding, restoring or replacing most or all of the teeth in the upper and lower jaws. It may involve jaw surgeries and variety cosmetic dental procedures. The entire process, from start to finish, takes up to six months or more.

