Digital Xrays & Intraoral Camera
Digital X-Rays
Digital X-rays are quickly becoming the standard of care in modern dentistry. This advanced technology allows us to capture detailed images of your teeth and surrounding structures and instantly display them on a computer screen for thorough evaluation.
Unlike traditional film X-rays, digital images are immediately available and can be enhanced using specialized imaging software. This allows our dental team to closely examine teeth, bone levels, and surrounding tissues with exceptional accuracy.
Panorex
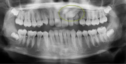
A panorex is a two-dimensional x-ray that displays both upper an lower jaws. The x-ray includes a view of all of the teeth, multiple bones of the head and neck, and other critical anatomical structures.

Benefits of Digital X-Rays
- Immediate image results
- Enhanced image clarity and magnification
- Improved diagnostic accuracy
- Easy electronic storage and sharing
- Environmentally friendly (no chemical processing)
- Up to 80% less radiation compared to traditional X-rays
One of the most important advantages for patients is significantly reduced radiation exposure. Digital sensors are much more sensitive than conventional film, requiring far less radiation to capture high-quality images. This technology was specifically designed with patient safety and comfort in mind.
Why Digital Imaging Matters
With the ability to zoom, adjust contrast, and analyze images in detail, we can detect issues earlier and create more precise treatment plans. Early diagnosis leads to simpler treatments, better outcomes, and long-term oral health.
Intraoral Cameras

Our commitment to advanced digital technology ensures safer, faster, and more accurate dental care for every patient.
