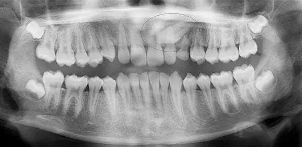
Wisdom teeth
Wisdom teeth are the third and final set of molars that typically emerge during the late teens or early twenties. While some individuals have enough space in the jaw for these teeth to grow in properly, many do not, leading to complications. When a wisdom tooth becomes impacted, it grows at an angle rather than straight through the gum line, which can cause pain, uneven eruption, or partial emergence.
Impacted wisdom teeth can also damage surrounding teeth and jaw structures. Their position makes them difficult to clean, allowing bacteria to accumulate and increasing the risk of infection and decay. For these reasons, removal is often recommended to prevent more serious complications. Routine X-rays during dental exams can help determine whether extraction is necessary.

Wisdom Tooth Extraction
Wisdom tooth extraction is a common surgical procedure used to remove one or more third molars. It is often recommended to relieve pain, prevent infection, or address overcrowding.
The procedure typically takes about an hour and is performed under local anesthesia or sedation to ensure comfort. During the procedure, our doctor will may make small incisions to safely remove the teeth.
Recovery usually takes up to two weeks, with most swelling and discomfort improving within the first 3–5 days. Following post-operative instructions will help promote proper healing and reduce the risk of complications.
Exposure of Impacted Canine Surgery

An impacted tooth means the tooth is stuck and cannot erupt into function. The maxillary canine (cuspid or upper eyetooth) is the second most common tooth to become impacted. Early recognition of impacted canines is the key to successful treatment.
Impacted canine exposure is a minor oral surgical procedure that exposes the stuck (impacted) canine. Overlying gum tissue and bone will be removed, followed by bonding an orthodontic bracket and a gold chain to the impacted canine. Orthodontic treatment will slowly guide the tooth into its proper position. It is crucial for treating teeth that fail to erupt, preventing overcrowding, damage to neighboring tooth roots, and, in rare cases, cyst formation.
Bone Graft, Ridge Preservation and Augmentation
Bone graft is a surgical procedure to repair and rebuild the bones loss in the jaw by transplantation. Using healthy bone tissue we can recreate bone and supporting tissues for implants or dentures. The bone used to graft is synthetic bone or bone taken from another area in the mouth. Human and animal donors can also be a good source of bone graft material. This bone gets sanitized and safe to use.

Ridge preservation is a common oral surgical procedure often performed following a tooth extraction. Bone graft fill in the extracted root or indented areas of the jaw. It preserves the natural contour of the gums and jaw that may have been lost due to bone loss from a tooth extraction, or for another reason.
Ridge augmentation is the bone graft procedure that enhance the bone volume of deficient sites prior to implant placement.
Sinus Augmentation
Loss of posterior teeth may result in excessive forces being placed on your remaining teeth. Fortunately, the use of dental implants and crowns allow you to replace these missing teeth. However, the position of the sinus in the upper posterior areas may be too low for proper placement of dental implants.
A simple procedure allows the sinus floor to be repositioned, creating enough space to properly place an implant. Various grafting materials are used to encourage your bone to grow more quickly into the area, helping to stabilize the dental implant. Replace with your own bone in this area the grafting material as it grows into the area.

Under certain conditions, an even simpler procedure can be utilized. When possible, the bone remaining under the sinus floor is gently “pushed up”, thus lifting the floor of the “dropped” sinus. Bone replacement materials are then placed beneath this lifted bone. Once again the bone materials are replaced as your body grow new bone into this area.
Sinus augmentation procedures are highly predictable, with studies reporting over 95% success. Following sufficient healing of a sinus augmentation (6-10 months), implants are placed in a predictable and successful manner. It is important to realize that if the sinus augmentation procedure does not result in enough bone for implant placement, additional bone may be regenerated through a second sinus augmentation procedure at the time of implant placement.
Platelet Rich Plasma (PRP)
Medical research has demonstrated that using our own blood cells, accelerates healing and tissue regeneration in all forms of surgery. Specifically, platelets, plasma, and white blood cells are used for this procedure. The protein that is carried by the platelets is the magic ingredient that is being used in numerous private office settings for wound healing and various surgical procedures, including oral surgery.

As we only use innovative procedures in our offices, we routinely use platelet rich plasma (PRP) in oral surgeries that involve hard and soft tissues, derived from the patient. The plasma proteins are collected in the office in a short procedure which only takes a few minutes. The use of PRPs in surgery ensures that the patient has the best opportunity to successfully heal from their surgery. For patients who have a history of complications arising from hard and soft tissue regenerations, PRP is instrumental in surgical success.
